Blepharoplasty (Eyelid Surgery): Before & After Photos
Surgeries performed by facial plastic surgeon Dr. Ben Hugo in Virginia Beach.
Patient 1
1 month After Demographics Age : 44 Surgeon : Ben Hugo MD Procedure : Upper & Lower Eyelid Tuck (blepharoplasty)
Individual results may vary.
Click here to contact Dr. Ben Hugo and set up a consultation.
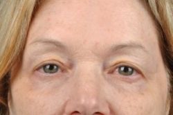
Patient 2
7 months After (with make-up) Demographics Age : 59 Surgeon : Ben Hugo MD Procedure : Upper Eyelid Tuck (upper blepharoplasty) Other : Facelift, Neck Lift This 59 year old lady from Norfolk saw Dr. Hugo in consultation to investigate having “an early turkey neck fixed” and drooping eyelids lifted. She was referred to Dr. […]
Individual results may vary.
Click here to contact Dr. Ben Hugo and set up a consultation.
Patient 3
1 month After Demographics Age : 50 Surgeon : Ben Hugo MD Procedure : Upper Eyelid Tuck (blepharoplasty) Other : Fractional CO2 laser resurfacing
Individual results may vary.
Click here to contact Dr. Ben Hugo and set up a consultation.
Patient 4
7 months After Demographics Age : 56 Surgeon : Ben Hugo MD Procedure : Upper Eyelid Tuck (blepharoplasty)
Individual results may vary.
Click here to contact Dr. Ben Hugo and set up a consultation.
Patient 5
2 months After Demographics Age : 66 Surgeon : Ben Hugo MD Procedure : Upper Eyelid Tuck (blepharoplasty)
Individual results may vary.
Click here to contact Dr. Ben Hugo and set up a consultation.
Patient 6
1 year After Demographics Age : 52 Surgeon : Ben Hugo MD Procedure : Upper Eyelid Tuck (blepharoplasty)
Individual results may vary.
Click here to contact Dr. Ben Hugo and set up a consultation.
Patient 7
2 months After Demographics Age : 62 Surgeon : Ben Hugo MD Procedure : Upper Eyelid Surgery (blepharoplasty) Other : Fractional CO2 laser resurfacing
Individual results may vary.
Click here to contact Dr. Ben Hugo and set up a consultation.
Patient 8
1 year After (with make-up)
Individual results may vary.
Click here to contact Dr. Ben Hugo and set up a consultation.
Patient 9
2 months After Demographics Age : 56 Surgeon : Ben Hugo MD Procedure : Upper Eyelid Tuck (blepharoplasty)
Individual results may vary.
Click here to contact Dr. Ben Hugo and set up a consultation.
Patient 10
7 months After Demographics Age : 46 Surgeon : Ben Hugo MD Procedure : Upper Eyelid Tuck (blepharoplasty)
Individual results may vary.
Click here to contact Dr. Ben Hugo and set up a consultation.

























